Invisalign® Katowice

Marzysz o prostych zębach, ale nie chcesz nosić tradycyjnych aparatów ortodontycznych? Invisalign® to przełomowa metoda prostowania zębów, która rewolucjonizuje współczesną ortodoncję. W naszej klinice oferujemy zaawansowane leczenie systemem przezroczystych nakładek Invisalign® w Katowicach, które są praktycznie niewidoczne i niezwykle skuteczne. Dzięki cyfrowej precyzji planowania i indywidualnemu podejściu do każdego przypadku, możemy korygować nawet złożone wady zgryzu, zachowując przy tym pełen komfort i dyskrecję leczenia.

Leczenie nakładkami Invisalign® Katowice

System Invisalign® to nowoczesna alternatywa dla tradycyjnych aparatów ortodontycznych. Przezroczyste nakładki wykonane z biokompatybilnego materiału są całkowicie bezpieczne i komfortowe w noszeniu. Technologia SmartTrack® wykorzystywana w nakładkach zapewnia przewidywalny i kontrolowany ruch zębów, a możliwość wyjmowania nakładek podczas posiłków i higieny jamy ustnej sprawia, że leczenie nie wpływa na codzienny komfort życia. Nakładki są praktycznie niewidoczne, co pozwala zachować naturalny wygląd i pewność siebie podczas całego procesu leczenia ortodontycznego.

Jakie są zalety leczenia Invisalign® w MUNK Stomatologia?

W naszej klinice stawiamy na najwyższą jakość leczenia ortodontycznego. Technologia Invisalign® pozwala na precyzyjne zaplanowanie każdego etapu terapii dzięki systemowi ClinCheck®. Pacjenci doceniają możliwość zobaczenia efektów końcowych jeszcze przed rozpoczęciem leczenia. Nakładki są wygodne w noszeniu, nie powodują podrażnień i pozwalają na zachowanie perfekcyjnej higieny jamy ustnej. Brak metalowych elementów eliminuje ryzyko otarć i urazów, a możliwość wyjmowania nakładek podczas szczególnych okazji zapewnia pełną swobodę i komfort.

Niewidoczny aparat
na zęby

Nakładki Invisalign® są niemal niewidoczne. Pacjenci często podkreślają, że ich bliscy nie widzą, że są w trakcie leczenia ortodontycznego.

Rzadsze wizyty
u ortodonty

Pacjent powinien pojawiać się w gabinecie ortodontycznym co 6-8 tygodni. W tradycyjnej metodzie ortodonta zaprasza go co miesiąc na wizytę.

Brak metalowych
zamków i drutów

Podczas leczenia niewidocznymi nakładkami brak jest metalowych zamków i drutów. Oznacza to, że pacjent spędza mniej czasu w gabinecie podczas wizyt kontrolnych.

Tryb życia taki,
jaki lubisz

W trakcie leczenia ortodontycznego możliwe są dłuższe wyjazdy, a metodę Invisalign® wybierają muzycy oraz sportowcy.

Leczenie jest krótsze

Leczenie ortodontyczne nakładkami Invisalign® trwa krócej niż aparatami tradycyjnymi.

Bez bólu

Leczenie nakładkowe jest praktycznie bezbolesne – podczas leczenia są przykładane mniejsze siły niż w leczeniu tradycyjnym.

Potwierdzona skuteczność

Leczenie wady zgryzu metodą Invisalign® rekomendowane jest przez Polskie Towarzystwo Stomatologiczne.

Lepsza higiena
jamy ustnej

Można nakładki na co dzień ściągnąć do posiłków i po jedzeniu wyczyścić zęby i nałożyć aparat.

Dlaczego Invisalign®?

Porównanie

Invisalign®

Tradycyjny aparat

Porównanie

Skutecznie koryguje wady zgryzu

Invisalign®

tak

Tradycyjny aparat

tak

Porównanie

Pozwala jeść każdy rodzaj jedzenia

Invisalign®

tak

Tradycyjny aparat

nie

Porównanie

Możliwość łatwego wyjęcia aparatu

Invisalign®

tak

Tradycyjny aparat

nie

Porównanie

Praktycznie niewidoczny dla innych

Invisalign®

tak

Tradycyjny aparat

nie

Porównanie

Bezproblemowa higiena jamy ustnej

Invisalign®

tak

Tradycyjny aparat

nie

Porównanie

Z plastycznego silikonu (nie rani dziąseł)

Invisalign®

tak

Tradycyjny aparat

nie

Porównanie

Kontrolne wizyty raz na 6 tygodni

Invisalign®

tak

Tradycyjny aparat

nie

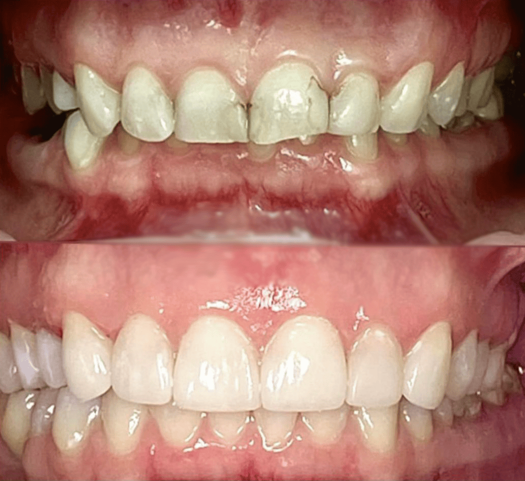
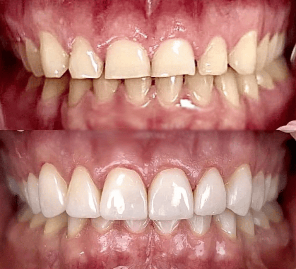
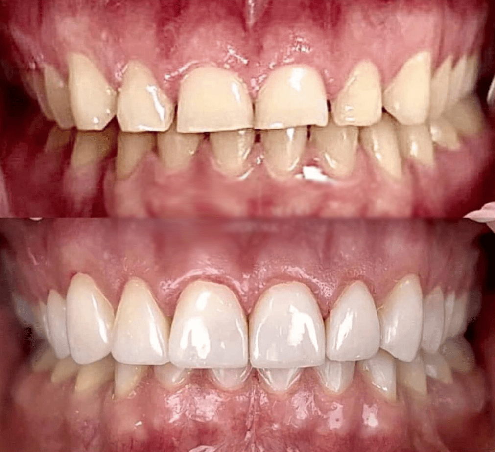
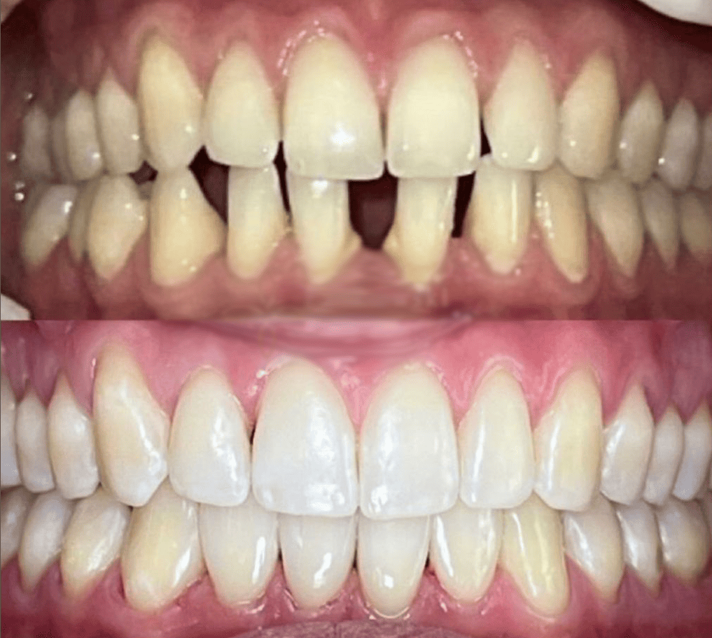
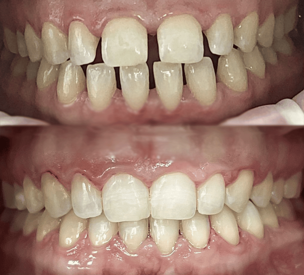
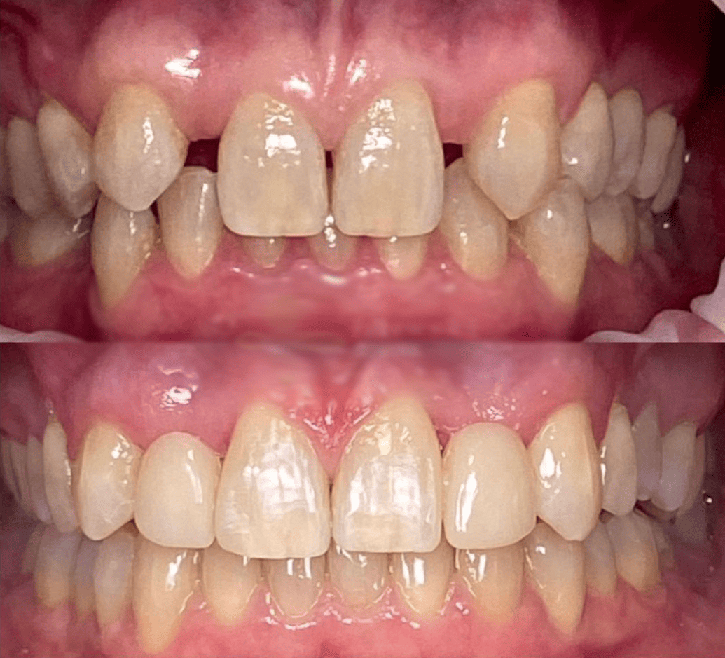
Plany leczenia ClinCheck®
pacjentów MUNK Stomatologia

Sprawdź metamorfozy uśmiechów

Wykwalifikowany zespół lekarzy Invisalign® Katowice

Nasi certyfikowani specjaliści Invisalign® posiadają bogate doświadczenie w prowadzeniu leczenia ortodontycznego przy użyciu systemu nakładkowego. Regularnie uczestniczą w szkoleniach i konferencjach, by być na bieżąco z najnowszymi protokołami leczenia. Dzięki temu możemy podejmować się nawet najbardziej skomplikowanych przypadków, gwarantując przewidywalne efekty i najwyższy standard opieki. Jeżeli rozważasz rozpoczęcie leczenia nvisalign® w Katowicach, umów się na pierwszą wizytę w MUNK Stomatologia.

Marta Szypuła – Munk

Stomatolog, certyfikowana lekarka Invisalign®

Absolwentka Śląskiego Uniwersytetu Medycznego w Katowicach, gdzie w 2014 roku uzyskała tytuł lekarza dentysty. W latach 2021-2023 ukończyła Curriculum Hurzeler/Zuhr Academy, specjalizując się w leczeniu perioimplantologicznym. Od 2016 roku jest członkiem Polskiego Towarzystwa Endodontycznego (PTE) oraz Polskiego Towarzystwa Periodontologicznego (PTP). Ukończyła również Curriculum Endodontyczne PTE.

Publikuje prace w polskich i zagranicznych czasopismach stomatologicznych oraz aktywnie uczestniczy w konferencjach krajowych i międzynarodowych. Regularnie prowadzi kursy z zakresu endodoncji i mikrochirurgii. Jej główne obszary zainteresowań to leczenie endodontyczne, mikrochirurgia, periodontologia oraz korekcja wad zgryzu metodami nakładkowymi.

Prywatnie miłośniczka podróży i natury, wielbicielka psów oraz aktywna uczestniczka życia rodzinnego.

Invisalign® Katowice – rozpocznij leczenie nowoczesnym systemem nakładek

Jeśli marzysz o prostych zębach bez widocznego aparatu, wybierz Invisalign® Katowice w MUNK Stomatologia. To innowacyjny system przezroczystych nakładek, który łączy skuteczność leczenia z maksymalnym komfortem i estetyką. Leczenie jest indywidualnie planowane w technologii 3D, a nakładki są niemal niewidoczne i zdejmowane, co pozwala na swobodne jedzenie i dbanie o higienę. Invisalign® to idealne rozwiązanie dla osób ceniących nowoczesność i wygodę w ortodoncji. Umów się na konsultację i przekonaj się, jak szybko i dyskretnie możesz odmienić swój uśmiech.

Wizyta Start & Plan

  • konsultacja
  • Smile View
  • skan 3D iTero
  • cyfrowy model zębów pacjenta
  • wizualizacja i omówienie procesu leczenia
  • RTG
  • zdjęcia fotograficzne

100 zł

Zacznij swoją przygodę z nakładkami Invisalign®

Pakiet Invisalign®

  • precyzyjny, indywidualny plam leczenia ortodontycznego wraz z opartą o niego wizualizacją efektu leczenia
  • założenie attachmentów (zaczepów)
  • nakładki ortodontyczne
  • wizyty kontrolne
  • zdjęcie attachmentów (zaczepów)
  • regularne przeglądy stomatologiczne
  • stały rabat 200 zł na higienizację w trakcie leczenia
  • opieka koordynatora Invisalign®

od 8900 zł

Dopasujemy pakiet do Twojej wady zgryzu!

Invisalign®
– pytania i odpowiedzi

Znajdź odpowiedzi na najczęstsze pytania dotyczące
przebiegu zabiegów, przygotowania i rekonwalescencji.

Jak przebiega leczenie nakładkami Invisalign®?

Proces rozpoczyna się od szczegółowej diagnostyki i wykonania cyfrowego skanu uzębienia. Na podstawie tych danych tworzymy wirtualny plan leczenia, który pokazuje kolejne etapy przesuwania zębów. Po akceptacji planu leczenia, wykonywane są spersonalizowane nakładki, które pacjent wymienia średnio co 7 dni. Regularne wizyty kontrolne pozwalają monitorować postępy leczenia i wprowadzać ewentualne korekty. Cały proces jest bezbolesny i precyzyjnie kontrolowany przez lekarza ortodontę.

Kto kwalifikuje się do leczenia nakładkami Invisalign®?

System Invisalign® jest skuteczny w leczeniu szerokiego spektrum wad zgryzu – od drobnych nieprawidłowości po zaawansowane przypadki ortodontyczne. Świetnie sprawdza się w korekcji stłoczeń, szparowatości, zgryzu krzyżowego czy głębokiego. Jest również doskonałym rozwiązaniem dla osób potrzebujących niewielkich korekt estetycznych lub poprawek po wcześniejszym leczeniu ortodontycznym. Oferujemy różne warianty leczenia dostosowane do indywidualnych potrzeb naszych pacjentów.

Ile kosztuje leczenie Invisalign® w MUNK Stomatologia Katowice?

Koszt leczenia systemem Invisalign® w Katowicach jest zawsze dopasowany do indywidualnych potrzeb pacjenta i zakresu koniecznej korekty zgryzu. Szczegółowy cennik dostępny jest na naszej stronie, natomiast orientacyjne koszty rozpoczynają się od 8.900 zł za leczenie Invisalign® Express jednego łuku zębowego. W przypadku korekcji obu łuków cena wzrasta do 9.900 zł. Dla najmłodszych pacjentów przygotowaliśmy specjalne pakiety: Invisalign® First w cenie 9.400 zł oraz Invisalign® Second za 10.400 zł.

Popularne warianty leczenia obejmują Invisalign® Lite za 11.900 zł oraz Invisalign® Moderate za 12.900 zł. Przy bardziej złożonych przypadkach polecamy pakiet Invisalign® Comprehensive, dostępny w dwóch wariantach: 3-letnim za 13.900 zł lub 5-letnim za 14.900 zł. Po zakończonym leczeniu warto zainwestować w aparaty retencyjne Vivera® (3 komplety na górę i dół) w cenie 1.850 zł, które pomogą utrzymać osiągnięty efekt. Podczas konsultacji ortodontycznej dobierzemy najlepiej dopasowany do Twoich potrzeb plan leczenia wraz z optymalnym wariantem cenowym.

Jakie są przewagi Invisalign® względem aparatu metalowego?

Invisalign® to nowoczesna metoda leczenia ortodontycznego, która oferuje szereg przewag nad tradycyjnym aparatem metalowym. Przede wszystkim jest niemal niewidoczna, co czyni ją idealnym rozwiązaniem dla osób ceniących dyskrecję w życiu zawodowym i prywatnym. Nakładki można zdejmować na czas jedzenia czy szczotkowania, co znacznie ułatwia utrzymanie higieny jamy ustnej. Leczenie jest też bardziej komfortowe – brak metalowych zamków i drutów minimalizuje ryzyko podrażnień błony śluzowej. Invisalign® pozwala na precyzyjne, cyfrowe zaplanowanie każdego etapu leczenia, co zwiększa jego przewidywalność i skraca czas noszenia aparatu. Jeśli chcesz skonsultować swoje możliwości leczenia, skontaktuj się z Ortodonta Katowice w MUNK Stomatologia.

Ile godzin dziennie trzeba nosić nakładki Invisalign®?

Aby leczenie systemem Invisalign® było skuteczne i zgodne z zaplanowanym harmonogramem, nakładki należy nosić przez minimum 20–22 godziny na dobę. Oznacza to, że powinny być zdejmowane jedynie na czas posiłków, picia gorących napojów oraz codziennej higieny jamy ustnej. Regularność i konsekwencja w noszeniu alignerów mają kluczowe znaczenie – każde odstępstwo może wydłużyć czas leczenia lub wpłynąć na efekty. Dzięki elastycznemu trybowi użytkowania Invisalign® daje większą swobodę niż aparat stały, ale wymaga samodyscypliny pacjenta. Dla uzyskania najlepszych rezultatów zaleca się przestrzeganie zaleceń ortodonty co do czasu noszenia i zmiany nakładek.

Jak często odbywają się wizyty kontrolne z Invisalign®?

W trakcie leczenia Invisalign® wizyty kontrolne odbywają się zazwyczaj co 6 do 8 tygodni, choć ich częstotliwość może być dostosowana indywidualnie do przebiegu terapii. Podczas wizyt ortodonta sprawdza postępy leczenia, monitoruje ruchy zębów i przekazuje kolejne zestawy nakładek. W porównaniu do tradycyjnego aparatu stałego, kontrolne wizyty są krótsze i mniej inwazyjne – nie ma potrzeby aktywowania zamków czy wymiany łuków. W niektórych przypadkach możliwa jest również zdalna kontrola postępów, co zwiększa komfort pacjenta. Regularne wizyty są jednak niezbędne, by zapewnić pełną kontrolę nad przebiegiem leczenia i utrzymać jego skuteczność.

Umów wizytę

Sprawdź, jak w MUNK Katowice zadbamy o Twój zdrowy i piękny uśmiech. Oferujemy kompleksową diagnostykę, która jest kluczem do skutecznego leczenia ortodontycznego, chirurgicznego, endodontycznego, implantologicznego i protetycznego, a także zabiegów z obszaru stomatologii estetycznej.

Skontaktuj się z nami

Masz pytania lub chcesz umówić wizytę?
Zapraszamy do kontaktu telefonicznego!

MUNK Stomatologia

ul. Pawła Kołodzieja 8
40-749 Katowice
Wyznacz trasę